Home | Surgeries | Cranial Cruciate Ligament Repair: TTA
Cranial Cruciate Ligament Repair: TTA
Tibial Tuberosity Advancement (TTA) Surgery for Cruciate Ligament Repair in Dogs
A cranial cruciate ligament (CCL) tear is one of the most common orthopedic injuries in dogs, often leading to pain, lameness, and joint instability. Tibial Tuberosity Advancement (TTA) surgery is an advanced biomechanical approach that stabilizes the knee by altering the joint’s geometry rather than replacing the torn ligament.
Unlike traditional ligament repair techniques, TTA surgery eliminates cranial tibial thrust, the force responsible for knee instability, by adjusting the position of the patellar tendon. This procedure allows faster recovery, improved joint function, and long-term stability in active and large-breed dogs.
What is Tibial Tuberosity Advancement (TTA)?
Tibial Tuberosity Advancement (TTA) is an advanced orthopedic surgery designed to treat cranial cruciate ligament (CCL) injuries in dogs. Unlike traditional ligament replacement techniques, TTA modifies the biomechanics of the knee to eliminate cranial tibial thrust, the force responsible for joint instability after a CCL tear.
How Does TTA Surgery Work?
The patellar tendon insertion is moved forward (cranially) to achieve a 90-degree angle between the patellar tendon and tibial plateau.
This biomechanical adjustment neutralizes femorotibial shear force, stabilizing the knee without replacing the damaged ligament.
TTA is one of the leading osteotomy-based CCL repair techniques, along with Tibial Plateau Leveling Osteotomy (TPLO).
How TTA Differs from Other Cruciate Ligament Surgeries
Featured Resources

We Welcome New Patients!
We're always happy to give your furry friend care at our hospital. Get in touch today!
Contact UsTTA and TPLO both aim to eliminate knee instability by altering joint mechanics, but they do so differently:
TTA changes the position of the tibial tuberosity to reduce shear force.
TPLO modifies the angle of the tibial plateau to achieve similar results.
Unlike extracapsular suture techniques, both TTA and TPLO avoid using artificial ligaments, reducing failure rates over time.

Is My Dog a Good Candidate for TTA Surgery?
TTA surgery is an excellent option for many dogs, but case selection is critical for success. Ideal candidates include:
Dogs with moderate tibial plateau angles—TTA is less effective for dogs with very steep tibial slopes (>30°).
Medium to large breeds—TTA is commonly performed in active, athletic dogs.
Dogs without significant angular limb deformities—TTA is not recommended for dogs with severe bone misalignment.
Your veterinarian will assess your dog’s knee structure and overall health to determine if TTA is the best option.

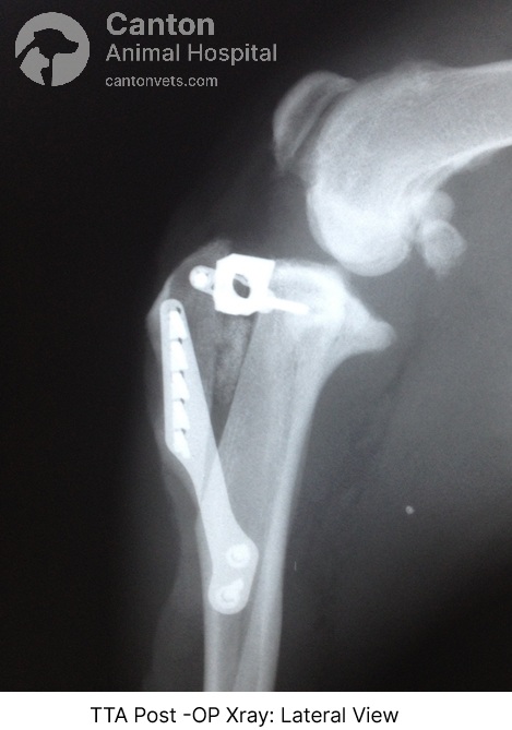
Tibial Tuberosity Advancement (TTA) Surgical Technique
Tibial Tuberosity Advancement (TTA) is a specialized orthopedic procedure designed to stabilize the knee joint in dogs suffering from a cranial cruciate ligament (CCL) tear. Unlike traditional ligament repair methods, TTA modifies the knee’s biomechanics, eliminating cranial tibial thrust to restore joint stability.
Step-by-Step TTA Surgical Procedure
Pre-Surgical Planning & Evaluation
Preoperative tibial radiographs determine the tibial plateau angle (TPA) and the required
tibial advancement for each patient.
Dogs with a TPA greater than 30° are not ideal candidates for TTA.
Joint Examination & Meniscal Treatment
The stifle joint is surgically examined, and if a meniscal injury is present, it is treated before proceeding with TTA.
Medial Approach to the Tibia
A medial incision is made to access the proximal tibia.
The gracilis, semitendinosus, and sartorius muscles are carefully lifted to expose the tibial crest.
Tibial Tuberosity Advancement Procedure
A sagittal saw is used to perform an osteotomy (controlled cut) of the non-weight-bearing portion of the tibia.
Pre-drilled attachment points are created for the TTA tension plate.
A custom-sized titanium cage is placed at the proximal end of the osteotomy site.
The tibial crest is secured with a tension plate, and a bone graft is inserted to promote healing.
Cranial tibial thrust is eliminated, ensuring the knee is stable.
Potential Risks & Considerations of TTA Surgery
While TTA is a highly effective procedure, some reports indicate higher complication rates compared to TPLO.
Most complications arise from technical errors during surgery or poor case selection.
Delayed meniscal tears have been observed post-operatively in some patients.
Proper post-surgical rehabilitation is crucial to minimizing risks and ensuring long-term success.
Choosing an experienced veterinary surgeon trained in TTA techniques significantly reduces the risk of complications.
Post-Surgical Recovery & Rehabilitation
Successful healing after TTA surgery requires strict post-operative care:
8–12 weeks of restricted activity—No running, jumping, or rough play.
Leash-only bathroom breaks—Ensure controlled movement to avoid stress on the knee.
Physical therapy & rehabilitation—Gradual exercise increases strength and mobility.
Follow-up X-rays at 8 weeks—Assess bone healing before increasing activity levels.
Regular check-ups with your veterinarian ensure optimal healing and long-term joint stability.
At Canton Animal Hospital, we perform advanced orthopedic surgeries including TTA, TPLO, and Extracapsular Lateral Suture Stabilization (LSS) techniques. Each procedure is tailored to the individual needs of the patient, ensuring optimal recovery and long-term joint health
Extracapsular Lateral Suture (MRIT) – Best for small to medium-sized dogs.
Tibial Plateau Leveling Osteotomy (TPLO) – The gold standard for large, active dogs.
Tibial Tuberosity Advancement (TTA) – A less invasive alternative to TPLO.
Frequently Asked Questions (FAQs) About TTA Surgery
Have questions about TTA surgery for dogs? Learn about recovery, benefits, risks, and whether TTA is the right choice for your pet’s knee injury.
Related Articles about Surgeries
Is your pet scheduling surgery soon? Explore our resource center for additional articles that may be of interest.
Featured Resources

We Welcome New Patients!
We're always happy to give your furry friend care at our hospital. Get in touch today!
Contact UsHelpful Links
Additional Information





