Home | Frequently Asked Questions | Torn Cranial Cruciate Ligament (CCL) in Dogs: FAQs
Torn Cranial Cruciate Ligament (CCL) in Dogs: FAQs
Torn Cranial Cruciate Ligament (CCL) in Dogs: FAQs
Q: What is the Cranial Cruciate Ligament (CCL)?
A: The Cranial Cruciate Ligament (CCL), also known as the Anterior Cruciate Ligament (ACL) in humans, is a strong band of tissue that stabilizes the knee (stifle) joint in dogs. It connects the rear of the femur (thigh bone) to the front of the tibia (shin bone), preventing excessive movement between these bones. A CCL rupture is the most common orthopedic injury in dogs, leading to pain, instability, and eventually arthritis if left untreated. TPLO surgery is the most effective treatment to restore joint stability and prevent long-term damage. Learn more about TPLO surgery in dogs.
Featured Resources

We Welcome New Patients!
We're always happy to give your furry friend care at our hospital. Get in touch today!
Contact UsQ: What Happens When a Cruciate Ligament Tears?
A: When a cranial cruciate ligament (CCL) tear occurs, dogs experience sudden pain and often hold their leg up. Within a day or so, they may start using the leg again, but limping persists for weeks. Over time, the unstable knee joint leads to tibia (shin bone) shifting forward, causing cartilage damage, arthritis, and meniscal injuries. Without treatment, pain and joint degeneration worsen, affecting mobility and quality of life. TPLO surgery is the most effective solution to restore stability and prevent long-term damage. Learn more about Torn ACL in dogs.
Q: Why Did My Dog Rupture This Ligament?
A: While cranial cruciate ligament (CCL) ruptures are the most common orthopedic injury in dogs, the exact cause is not fully understood. Unlike in humans, where trauma is the primary cause, dog CCL injuries often develop gradually due to ongoing joint instability and degeneration.
Some contributing factors include:
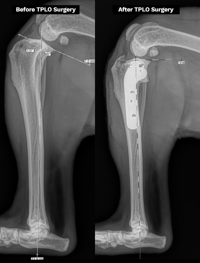
Excessive Tibial Plateau Angle (TPA) – Though linked to ligament stress, research shows it alone does not cause rupture. Learn more about TPA on the X-Ray.
Muscular Imbalance Theory – Some experts believe knee muscles normally control movement, while cruciate ligaments act as backup stabilizers. If muscle function is compromised, the ligament endures constant stress, leading to progressive weakening.
Chronic Wear & Tear – Most cases show signs of arthritis and partial ligament damage long before a complete rupture occurs.
Since most CCL ruptures are not sudden but progressive, early diagnosis and TPLO surgery can prevent further joint damage and restore mobility. Learn more about TPLO Surgery.
Q: Why Does My Dog Need Surgery?
A: If your dog ruptures the Cranial Cruciate Ligament (CCL), surgery is the only effective solution to restore stability and prevent long-term joint damage. Without the CCL, every step creates a shearing force, causing the femur to slide abnormally on the tibial plateau. View Xray to see backward displacement of the femur. This leads to:
Severe cartilage wear and arthritis
Damage to the menisci (joint cartilage pads)
Chronic pain and mobility issues
Over time, arthritis worsens, making walking painful and reducing your dog’s quality of life. TPLO surgery eliminates this instability, allowing for a pain-free and active future.
Q: Why Do Different Surgeons Recommend Different Procedures?
A: Over the years, surgeons have developed various techniques to repair a ruptured cranial cruciate ligament (CCL). As research and long-term data improve, some procedures once considered effective have been replaced with more advanced techniques.
This evolution in surgical methods is normal in both human and veterinary medicine. What was considered the best approach 20 years ago—or even 5 years ago—may now be outdated. Today, Tibial Plateau Leveling Osteotomy (TPLO) is widely regarded as the gold standard for CCL repair, offering superior long-term outcomes compared to older techniques.
At Canton Animal Hospital, we stay at the forefront of veterinary medicine, ensuring that we provide the most effective, research-backed treatment options for your pet’s orthopedic health.
Q: What Surgeries Are Currently Being Done for a Torn ACL?
A: The four most common surgical techniques used in veterinary medicine for cranial cruciate ligament (CCL) repair include:
Extracapsular Suture (MRIT) – Uses a synthetic ligament outside the joint to stabilize the knee.
Tibial Plateau Leveling Osteotomy (TPLO) – Alters the tibial plateau angle to eliminate instability (considered the gold standard for active and large-breed dogs).
Tibial Tuberosity Advancement (TTA) – Changes the biomechanics of the knee by repositioning the tibial tuberosity.
Tightrope CCL – A minimally invasive alternative that mimics the function of the CCL using a strong suture.

Factors for a Successful Surgery:
The success of any procedure depends on:
Proper case selection
Surgeon expertise and correct surgical technique.
Postoperative care and rehabilitation
Potential Complications:
Though rare, complications may include:
Infection (incision or implant-related)
Implant failure or persistent instability
Progression of arthritis
Ongoing lameness
At Canton Animal Hospital, we offer TPLO surgery for CCL injuries and provide comprehensive post-operative care to ensure the best possible outcome for your pet.
Q: What Is the Lateral Suture Procedure (MRIT) for ACL Tear Stabilization in Dogs?
A: The lateral suture procedure, also known as Modified Retinacular Imbrication Technique (MRIT), is a surgical method used to stabilize a torn cranial cruciate ligament (CCL) in dogs. This technique involves placing suture material outside the joint to mimic the function of the original ligament. Learn about advantage and advantage for Lateral Suture Stabilization (LSS)/MRIT
However, unlike the natural CCL, the suture does not provide the same biomechanical strength or flexibility, leading to:
Loss of some normal knee movement
Gradual weakening of the suture, as it is only a temporary stabilizer
Scar tissue formation, which helps stabilize the knee but may limit range of motion over time
While MRIT can be effective in small, less active dogs, it is generally not recommended for large or highly active breeds. TPLO surgery is the preferred option for long-term joint stability and optimal function.

Q: What Are the Advantages and Disadvantages of the Lateral Suture Procedure?
Advantages:
Effective for small-breed dogs – Works best in lightweight, less active dogs.
Less invasive – Compared to bone-altering procedures like TPLO or TTA.
Lower initial cost – Typically more affordable than advanced orthopedic surgeries.
Disadvantages:
High failure rate in large-breed dogs – Artificial sutures often break or loosen over time.
Loss of normal knee movement – Risk of overtightening, leading to joint compression and cartilage damage.
Temporary stability – Long-term success depends on scar tissue formation, which may result in stiffness and reduced mobility.
Outdated for active dogs – Many surgeons now recommend TPLO or TTA for better long-term joint stability.
While the Lateral Suture Procedure has been used for years, newer surgical techniques like TPLO surgery provide more reliable, long-term outcomes—especially for larger, more active dogs. Learn more about advantage of TPLO surgery in large active dog.

Q: What Is the Tightrope CCL Procedure for a Torn ACL?
A: The Tightrope CCL Procedure is an advanced variation of the lateral suture technique used to stabilize a torn cranial cruciate ligament (CCL) in dogs. It involves placing a strong artificial ligament outside the joint to mimic the function of the natural CCL. Learn more about TightRope techniques.
Advantages of Tightrope CCL:
Stronger than traditional lateral suture techniques. Learn about lateral suture repair technique.
Minimally invasive compared to bone-cutting procedures
Can be an option for medium to large-breed dogs
Disadvantages of Tightrope CCL:
Uses braided material, which can trap bacteria and lead to infection if contamination occurs.
Still relies on scar tissue formation for long-term stability.
Not as biomechanically sound as TPLO surgery, especially for active or large dogs.
While Tightrope CCL is an improvement over standard lateral suture techniques, TPLO surgery remains the gold standard for long-term stability, function, and arthritis prevention, especially in large, active dogs.
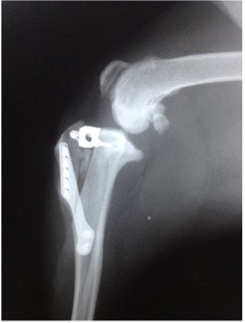
Q: What is the TPLO Procedure?
A: Tibial Plateau Leveling Osteotomy (TPLO) is a surgical procedure designed to stabilize the knee after a cranial cruciate ligament (CCL) tear in dogs.
In a normal knee, the top of the tibia (shin bone) slopes backward, allowing the femur (thigh bone) to slide down this slope. When the CCL tears, this sliding motion causes pain, instability, and joint damage.
How TPLO Works:
The tibial slope is surgically altered to remove the backward slant. Learn how TPLO surgery works.
This prevents abnormal movement, eliminating the need for the damaged ligament.
The quadriceps muscle takes over knee stabilization, allowing for natural movement and weight-bearing.
TPLO surgery is the gold standard for active and large-breed dogs, offering long-term joint stability, faster recovery, and a reduced risk of arthritis compared to other procedures.

Q: What Are the Advantages and Disadvantages of the TPLO Procedure?
Advantages of TPLO:
Provides long-term joint stability – Eliminates tibial thrust, preventing further joint damage.
Best option for active and large-breed dogs – Allows them to return to normal activity faster than other procedures.
Reduced risk of arthritis – By stabilizing the knee, TPLO slows the progression of degenerative joint disease.
Faster recovery time – Dogs regain function more quickly compared to traditional repair methods. Learn more about degenerative joint disease.
Disadvantages of TPLO:
Invasive procedure – Requires cutting and rotating the tibia, which involves more surgical skill and recovery time.
Not all experts agree on the cause of ligament rupture – While excessive tibial slope is often blamed, research has not definitively proven it as the sole cause.
Higher cost compared to other surgeries – Due to its technical difficulty and specialized implants.
Potential surgical complications – Includes infection, implant failure, or delayed bone healing (though rare with proper post-operative care).
Despite ongoing debate, TPLO remains the gold standard for treating CCL injuries in large, active dogs due to its high success rate and long-term benefits.
Q: Is TPLO Surgery Safe for Small Dogs?
A: Yes! TPLO surgery is highly effective for small and toy breeds, especially those with steep tibial slopes that increase ACL injury risk. Learn more about TPLO for small dogs.
2 weeks after bilateral TPLO surgery
TPLO Surgery Risks & Complications?
While complications are rare, some potential risks may include:
Infection (prevented with antibiotics)
Implant loosening (if activity restrictions aren’t followed)
Delayed bone healing (managed with nutrition & controlled exercise)
At Canton Animal Hospital, we take extra precautions to minimize risks and ensure a smooth recovery.
Q: What Is the TTA Procedure?
A: Tibial Tuberosity Advancement (TTA) is a surgical procedure used to stabilize the knee after a cranial cruciate ligament (CCL) tear in dogs.
Instead of altering the tibial plateau angle like in TPLO surgery, TTA works by repositioning the tibial tuberosity (the bony attachment of the patellar tendon) forward. This adjustment allows the quadriceps muscle to naturally stabilize the knee by pulling the tibia forward, compensating for the torn CCL.
Key Benefits of TTA:
Less invasive than TPLO – No need to cut and rotate the tibia.
Shorter recovery time compared to traditional suture techniques.
Can be a good alternative for medium to large dogs.
Considerations:
TTA may not be as effective as TPLO in very active or large-breed dogs.
Proper case selection is critical for optimal success.
Both TPLO and TTA are modern solutions for CCL injuries, and the best option depends on your dog’s size, activity level, and joint anatomy.

Q: What Are the Advantages and Disadvantages of the TTA Procedure?
Advantages of TTA:
Uses the body's natural biomechanics – The patellar ligament and quadriceps muscle stabilize the knee, compensating for the torn CCL.
Less invasive than TPLO – No need to cut and rotate the tibia, leading to quicker initial healing.
May result in less arthritis over time – Some studies suggest reduced joint degeneration compared to traditional repair methods.
Suitable for a wide range of dog sizes – Can be performed on small, medium, and large-breed dogs.
Disadvantages of TTA:
May not be as strong as TPLO – In high-energy, large-breed dogs, TPLO often provides better long-term stability.
Potential for complications – Implant failure, infection, and delayed healing are possible.
Not ideal for dogs with very steep tibial slopes – TPLO may be a better option in such cases.
While TTA is a highly effective procedure, TPLO is still considered the gold standard for large, active dogs needing the most stable, long-term outcome. Choosing the best procedure depends on your dog's size, activity level, and joint structure. Learn about benefits of TPLO surgery for a dog.
Q: Why Do Some Surgeons Continue to Perform TPLO Surgeries When TTA Has Been Shown to Be a Better Procedure?
A: The debate between Tibial Plateau Leveling Osteotomy (TPLO) and Tibial Tuberosity Advancement (TTA) is ongoing, and there is no universal agreement on which procedure is superior. While TTA shows promising results, long-term studies over the next 20 years will provide clearer insights.
Reasons Some Surgeons Still Prefer TPLO:
Lack of universal consensus – While TTA appears highly effective, TPLO has been extensively studied and remains the gold standard for many surgeons.
Investment in specialized TPLO equipment – Surgeons who have trained extensively in TPLO and invested in TPLO-specific tools and implants may prefer to continue using it.
Proven success rates – TPLO has consistently produced good long-term outcomes, especially in large, active dogs.
Surgeon experiences matter – Many surgeons have perfected TPLO over the years and trust its reliability.
While TTA is an excellent alternative, TPLO remains a widely used and effective procedure. Ultimately, the best choice depends on the individual dog's size, activity level, and the surgeon’s expertise.
Q: I Have Been Told That My Dog May Have the Same Problem Later in the Opposite Leg. Is This True?
A: Yes, statistics show that 35-40% of dogs will experience a cranial cruciate ligament (CCL) rupture in the opposite leg within a few years of the first injury.
This is likely due to:
Pre-existing joint degeneration – Arthritis and chronic wear and tear may have already begun in the opposite knee.
Increased strain on the healthy leg – After a CCL tear, dogs often shift their weight to the uninjured leg, putting extra stress on the joint.
Genetic or structural predisposition – Some breeds are more prone to bilateral CCL injuries due to joint conformation.
While there's no guaranteed way to prevent a second rupture, maintaining a healthy weight, joint supplements, and controlled exercise can help reduce the risk.
Q: What Can I Do to Lower the Chance That My Dog Will Need Surgery in the Opposite Leg?
A: While there’s no guaranteed way to prevent a cranial cruciate ligament (CCL) rupture in the opposite leg, you can reduce the risk by following these key steps:
Strictly follow post-surgery recovery guidelines – Limit activity and focus on proper rehabilitation.
Commit to physical therapy – Strengthening the operated leg reduces excessive strain on the healthy leg.
Maintain a healthy weight – Extra weight increases stress on the joints, accelerating degeneration.
Provide joint supplements – Glucosamine, chondroitin, and omega-3s may help support joint health.
Avoid high-impact activities – No excessive jumping, rough play, or sudden movements, especially early in recovery.
By managing weight, exercise, and rehabilitation, you can help protect your dog’s opposite knee and promote long-term joint health.
Q: What Is the "Best" Surgery for a Torn ACL in Dogs?
A: There is no single "best" surgery for a cranial cruciate ligament (CCL) tear in dogs. The most appropriate procedure depends on factors like your dog’s size, activity level, and joint structure.
Key Considerations for CCL Surgery:
TPLO (Tibial Plateau Leveling Osteotomy) – The gold standard for large, active dogs due to superior long-term stability.
TTA (Tibial Tuberosity Advancement) – A less invasive alternative with good results in medium to large dogs.
Lateral Suture (MRIT) – Best for small, less active dogs, but less reliable in larger breeds.
Tightrope CCL – A minimally invasive option but has risks due to the use of braided material.
Lifelong Joint Care After Surgery?
Regardless of the procedure, no surgery can fully restore the knee to its pre-injury state. Long-term management includes:
Rehabilitation and physical therapy to maintain mobility.
Weight control to reduce joint stress.
Joint supplements and pain management for osteoarthritis.
Even with TPLO or TTA, some dogs may experience intermittent stiffness or lameness due to arthritis and scar tissue strain. While surgery improves function, it does not reverse existing joint degeneration.
Q: Why Do Veterinarians Recommend One Surgical Procedure Over Another?
A: Veterinarians recommend cranial cruciate ligament (CCL) surgery based on their expertise, the dog’s size and activity level, and expected outcomes.
Factors That Influence Surgical Recommendations:
Surgeon’s Experience & Comfort Level – Veterinarians tend to recommend the procedure they are most skilled at and have had the most success with.
Complexity of the Surgery – The lateral suture technique is simpler, with fewer complications, while TPLO and TTA require specialized training.
Effectiveness in Restoring Normal Knee Function – TPLO and TTA provide better long-term stability and closely mimic normal knee biomechanics.
Backup Options – If the lateral suture procedure fails, TPLO or TTA can still be performed as a corrective surgery.
While all procedures aim to stabilize the knee, TPLO and TTA are generally preferred for larger, more active dogs due to superior joint stability and reduced arthritis progression.
Q: Why Is My Doctor NOT Recommending a TTA Over the TPLO?
A: Tibial Plateau Leveling Osteotomy (TPLO) is generally recommended over Tibial Tuberosity Advancement (TTA) in cases where:
Your dog has a steep tibial plateau angle (TPA) – A higher-than-normal TPA makes TPLO a better choice for stabilizing the knee.
Your dog has crooked legs or abnormal bone structure – TPLO may be more effective in cases of limb deformities.
The surgeon is more experienced with TPLO – Some veterinarians specialize in TPLO and may not yet be trained in TTA.
Is TPLO Always Better Than TTA?
Not necessarily. Both procedures aim to restore joint stability after a CCL tear, and TTA can be equally effective in the right candidates. However, TPLO remains the gold standard for large, active dogs, particularly those with steep tibial slopes or crooked legs.
If you’re unsure about the recommendation, consider seeking a second opinion from a surgeon experienced in both TPLO and TTA.
Q: My Dog Recently Had a TTA Done, and Now the Leg Is Very Swollen. What Should I Do?
A: Post-surgical swelling after a Tibial Tuberosity Advancement (TTA) is common, especially just below the surgical site. This swelling is typically due to bleeding from the bone grafting site, which is used to fill the grafted area in the tibia. Learn more about TTA surgery Recovery.
How to Manage Swelling After TTA Surgery:
Limit weight-bearing activity – Keep your pet off the leg as much as possible for a few days.
Apply ice packs – Use cold therapy 3-4 times daily for 10-15 minutes over the next week.
Monitor for excessive swelling – If the swelling becomes severe, it may put pressure on the incision site and increase the risk of complications.
When to Contact Your Veterinarian:
If swelling worsens, the incision becomes red, warm, or leaks fluid, or if your dog shows signs of pain or discomfort, contact your veterinarian immediately.
Using alternative bone grafting options like a synthetic product (e.g., Velocity®) or a graft from another body site may help reduce this type of swelling in future procedures.
Q: My Vet Told Me My Pet Has a "Torn ACL" and Needs a TPLO. What Are My Options?
A: TPLO (Tibial Plateau Leveling Osteotomy) is a highly effective surgical procedure for cranial cruciate ligament (CCL) tears, but it is not the only option. The best procedure depends on your dog’s size, weight, and activity level. Learn more detail about torn ACL ligament in dogs.
Alternative Surgical Options for a Torn CCL:
Lateral Suture Technique (Extracapsular Repair) – Best for dogs under 40 pounds.
Uses suture material to stabilize the knee.
Slower recovery than TPLO but can provide good long-term results.
Not ideal for overweight or large dogs.
TTA (Tibial Tuberosity Advancement) – A great alternative to TPLO.
Alters knee biomechanics to reduce joint instability.
Less invasive than TPLO and may lead to faster healing.
Works well for many dogs but may not be suitable for those with
steep tibial slopes.
Which Surgery Is Best for My Dog?
The lateral suture technique works well in small, lean dogs, while TTA and TPLO are better for larger, active dogs. If you’re unsure, consider a second opinion to determine the best option for your pet's specific condition.
Q: When Would You Pick TPLO Over TTA?
A: Tibial Plateau Leveling Osteotomy (TPLO) is generally preferred over Tibial Tuberosity Advancement (TTA) in specific cases where TTA may not provide optimal stability. TPLO surgery is the better choice, Learn more.
Situations Where TPLO Is Recommended Over TTA:
Excessive Tibial Plateau Angle (TPA) – If the TPA is greater than 30 degrees, TPLO is the better choice for stabilizing the knee. Learn more about TPA.
Client Preference & Expectations – Some pet owners and veterinarians prefer TPLO due to its long-standing success and research-backed outcomes.
Show Dogs or Competitive Athletes – TTA may cause mild limb appearance changes, making TPLO the preferred option for show dogs or performance animals.
Angular Limb Deformities – If a dog has crooked legs or abnormal joint structure, TPLO offers better correction and stability.
While both TPLO and TTA are effective CCL repair techniques, the best procedure depends on your dog's anatomy, activity level, and recovery goals.
Q: What Are the Advantages of TTA Over TPLO?
A: Tibial Tuberosity Advancement (TTA) is a less invasive alternative to Tibial Plateau Leveling Osteotomy (TPLO) for treating cranial cruciate ligament (CCL) injuries in dogs. While both procedures effectively stabilize the knee, TTA has several key advantages in the right candidates.
Advantages of TTA Over TPLO:
Less invasive – TTA does not involve cutting and rotating the tibial plateau, making recovery quicker and less painful.
Faster post-surgical comfort – Dogs undergoing TTA tend to experience less discomfort and regain function more quickly.
Preserves more natural knee function – Unlike TPLO, which alters joint forces and can reduce range of motion, TTA maintains more natural movement.
Minimizes muscle dissection – TTA does not disrupt knee muscles as much as TPLO, reducing post-op stiffness.
Easier surgical procedure – In experienced hands, TTA is quicker and has fewer complications.
Comparable cost – While costs vary by clinic, TTA and TPLO are generally similar in price.
When TPLO May Be Preferred Over TTA:
Dogs with very steep tibial plateau angles (>30 degrees) – TPLO is more effective in cases with extreme joint angles.
Dogs with very large or very small body sizes – TTA is less commonly used in giant breeds or very small dogs.
Long-term data is still emerging – TPLO has been in practice since the 1990s, while TTA was introduced in 2005, meaning long-term outcome studies are still ongoing.
Bottom Line:
Both TTA and TPLO effectively neutralize cranial tibial thrust, but TTA offers a less invasive alternative with quicker recovery in properly selected patients. Choosing the best procedure depends on your dog’s anatomy, lifestyle, and your veterinarian’s expertise.
Q: My Dog Has Bad Hips and a Torn ACL. Should I Proceed with Surgery?
A: Yes, surgery is highly recommended. While hip issues can cause discomfort, they are rarely the primary cause of acute limping. If your dog has a torn cranial cruciate ligament (CCL), the joint instability will only worsen over time, leading to:
Chronic pain and lameness
Increased risk of arthritis. Learn more about arthritis in dogs.
More strain on the hips and opposite leg
Addressing the CCL injury first through TPLO or TTA surgery will improve mobility and may even help your dog compensate better for any existing hip problems. Delaying surgery can lead to further joint degeneration and long-term mobility issues.
Q: How Do You Compare Different Techniques for Surgical Repair of a Torn Cruciate?
A: Several surgical techniques are available for cranial cruciate ligament (CCL) repair, each with its own advantages and disadvantages. Below is a comparison of the four most common procedures:
Technique | Advantages | Disadvantages | Cost |
✅ Least expensive option ✅ Requires minimal special equipment ✅ Less invasive than bone-cutting procedures | ❌ May reduce range of motion ❌ Relies on scar tissue for long-term stability ❌ Some knee instability (2-3mm cranial drawer remains) | 💲 | |
✅ Can be performed minimally invasively ✅ More isometric than extracapsular suture ✅ Maintains normal range of motion | ❌ Requires specialized equipment ❌ Not ideal for dogs with tibial plateau angles >30° ❌ Some knee instability remains (2-3mm cranial drawer) | 💲💲 | |
✅ Eliminates cranial tibial thrust ✅ Faster return to weight-bearing ✅ Can be combined with medial patellar luxation (MPL) correction | ❌ Requires specialized training and equipment ❌ Not recommended for dogs with tibial slopes >30° ❌ Not ideal for dogs with tibial angular or torsional deformities | 💲💲💲 | |
✅ Completely eliminates cranial tibial thrust ✅ Very stable repair, even early in recovery ✅ Best for dogs with steep tibial slopes (>27°) ✅ Can correct medial patellar luxation (MPL) | ❌ Can cause mild varus deformity and increase medial compartment loading ❌ Requires advanced surgical training and specialized equipment | 💲💲💲 |
Which Surgery Is Best for Your Dog?
The best procedure depends on your dog’s size, activity level, and knee anatomy:
Small or less active dogs → Extracapsular suture or TightRope
Medium to large dogs with normal tibial slopes → TTA or TightRope
Large, active dogs or those with steep tibial slopes → TPLO
For dogs with tibial plateau angles greater than 30° or angular limb deformities, TPLO is the preferred option for long-term stability and mobility.
Q: Do You Offer Free Surgical Consultation for Anterior Cruciate Surgery?
A: Yes, we do! At Canton Animal Hospital, we offer free surgical consultations for dogs diagnosed with a cranial cruciate ligament (CCL) tear. Our experienced veterinary team will evaluate your pet’s condition, discuss treatment options, and recommend the best surgical approach based on their size, activity level, and overall health.
Learn more in detail about cranial cruciate ligament injury in dogs.
Q: What Happens If a Torn Anterior Cruciate Ligament (ACL) Is Not Fixed?
A: The Anterior Cruciate Ligament (ACL), also known as the Cranial Cruciate Ligament (CCL) in dogs, is essential for knee stability. When it tears, the knee becomes unstable, leading to a cascade of serious complications.
Consequences of Not Treating a Torn ACL:
Chronic pain and lameness – Without stabilization, the knee remains painful and weak, limiting mobility.
Severe arthritis – Ongoing instability causes rapid cartilage damage, leading to degenerative joint disease (DJD). Learn more about generative joint disease.
Meniscus damage – The meniscus (joint cartilage) often tears, worsening pain and arthritis.
Injury to the opposite leg – Dogs compensate by putting extra weight on the healthy leg, increasing the risk of a second ACL tear (35-40% chance).
Early Surgery = Better Outcomes
Surgical repair through TPLO or TTA restores joint stability, minimizes arthritis progression, and improves long-term mobility. Delaying treatment only worsens joint degeneration and reduces the chances of a full recovery.
Schedule a consultation today to discuss the best treatment plan for your pet!
Let’s go over 10 possible consequences of an untreated ACL rupture in Dogs
When a cranial cruciate ligament (CCL) rupture, also known as an ACL tear, is left untreated, it can lead to severe joint deterioration, chronic pain, and mobility issues. Here are 10 major consequences of not treating a torn ACL in dogs:
1. Chronic Pain
Even though pain medications may help, they do not fix the torn ligament. Over time, arthritis develops, leading to persistent discomfort and stiffness. Learn about pain management in detail.
2. Severe Arthritis (Degenerative Joint Disease – DJD)
The longer the knee remains unstable, the faster arthritis develops. Arthritis is irreversible, and while joint supplements and therapies can help, there is no cure once it sets in. Learn more about arthritis in dogs.
3. Weak, Ineffective Scar Tissue Formation
The body tries to stabilize the knee by forming scar tissue, but it is not strong enough to restore proper function. This results in continued joint instability.
4. Limited Range of Motion
Scar tissue buildup causes the knee to become stiff, preventing full bending or extension. This makes walking, running, and even standing uncomfortable.
5. Muscle Atrophy (Muscle Loss)
When a dog avoids using the injured leg, the muscles weaken and shrink over time, making recovery even more difficult.
6. Exercise Intolerance
A dog with a painful, unstable knee will struggle to run, play, or even go on walks. Over time, they may become less active, leading to further joint deterioration.
7. Increased Risk of Tearing the Opposite ACL
Dogs shift weight to the healthy leg, increasing the risk of an ACL tear in the opposite knee. Large-breed dogs, such as Labradors and Rottweilers, are especially prone to bilateral ligament injuries.
8. Meniscus Tear (Cartilage Damage)
Up to 50% of dogs with a torn ACL will also tear the meniscus, an important shock-absorbing cartilage in the knee. A torn meniscus causes more pain, inflammation, and joint damage.
9. Weight Gain Due to Decreased Activity
Less movement leads to weight gain, which increases joint stress, worsening pain, arthritis, and mobility issues.
10. Secondary Joint & Spine Issues
A dog’s gait and posture change to compensate for the injured leg. This can cause pain and stress in the other three limbs, as well as the spine, leading to long-term orthopedic problems.
Delaying treatment leads to a vicious cycle of pain, instability, and degeneration. The sooner ACL surgery is performed (such as TPLO or TTA), the better the long-term outcome for your pet. Learn more about TPLO surgery in dogs.
Is an ACL Tear in Dogs Fixable?
From a surgeon’s standpoint, an ACL tear (cranial cruciate ligament rupture) is a highly treatable condition.
Learn more about Torn CCL in dogs.
While some dogs can survive without surgery, this often leads to chronic pain, joint degeneration, and mobility issues. If surgery is financially feasible, it is the best option to restore joint function, reduce pain, and improve long-term quality of life.
If you have any concerns or questions about your pet’s ACL injury, consult your veterinarian. They are your best resource for ensuring your pet’s health and well-being.
Schedule a consultation today to explore the best treatment options for your dog’s knee health!
Featured Resources

We Welcome New Patients!
We're always happy to give your furry friend care at our hospital. Get in touch today!
Contact UsTips and Advice From Our Team
Looking for advice about caring for your pet? Our blog features helpful tips and educational material from our team to support your needs.



