Home | Surgeries | Femoral Head & Neck Ostectomy (FHO Surgery) in Dogs and Cats
Femoral Head & Neck Ostectomy (FHO Surgery) in Dogs and Cats
Femoral Head & Neck Ostectomy (FHO) in Dogs and Cats
Hip pain and mobility issues can greatly affect your pet’s quality of life. At Canton Animal Hospital, we offer Femoral Head & Neck Ostectomy (FHO) as an effective orthopedic solution for a variety of hip disorders. This procedure is designed to alleviate pain, restore function, and allow pets—especially small dogs and cats—to return to their normal activities without the burden of chronic joint pain.
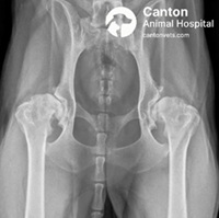
We perform Femoral Head & Neck Ostectomy (FHO) as a reliable, pain-relieving surgical option for dogs and cats suffering from hip-related conditions. FHO involves the removal of the femoral head and neck—the ball portion of the hip joint—eliminating painful bone-on-bone contact. This allows a “false joint” to form with surrounding soft tissues, providing pain-free mobility.
This procedure is especially beneficial for small to medium-sized dogs and cats with hip dysplasia, chronic luxation, femoral head fractures, or avascular necrosis. Though not an anatomical restoration like total hip replacement, FHO has proven highly effective with fewer complications and a more cost-conscious approach.
Featured Resources

We Welcome New Patients!
We're always happy to give your furry friend care at our hospital. Get in touch today!
Contact Us
Conditions Treated with FHO Surgery
Hip dysplasia leading to chronic joint pain and instability
Femoral head fractures that cannot be repaired with internal fixation
Chronic or recurrent hip luxation (dislocation)
Degenerative joint disease (DJD) or severe hip arthritis
Legg-Calvé-Perthes disease (avascular necrosis of the femoral head)
Failed total hip replacement (as a salvage procedure).

Is My Pet a Candidate for FHO?
FHO surgery is best suited for:
Dogs under 80 pounds and most cats
Pets that have not responded to medical management or physical therapy
Owners seeking a cost-effective surgical alternative to hip replacement
Pets with good muscle mass and active lifestyles
Some larger dogs may also benefit, though outcomes can vary

What to Expect During FHO Surgery
Your pet will be placed under general anesthesia and positioned for surgical access to the hip
The femoral head and neck (the ball portion of the joint) are carefully removed
The bone edges are smoothed to prevent irritation
The hip joint is closed, allowing soft tissues to form a fibrous false joint
No implants are required, minimizing complications.
Hospital Stay & Immediate Post-Op Care
• Most pets are hospitalized for 1–2 days following surgery • Pain management begins immediately post-operatively • Your pet will go home with detailed home care instructions and medications.
Post-Operative Recovery & Rehabilitation
FHO surgery requires dedicated post-op care for optimal results:
First 1–2 weeks: Strict rest with leash-controlled potty breaks.
Weeks 2–4: Begin controlled leash walks and passive range-of-motion exercises.
After week 2: Physical therapy activities such as walking, swimming, and play are encouraged to rebuild strength.
Follow-ups: Suture removal at 10–14 days, and monthly rechecks to assess healing and mobility
Most pets regain functional mobility within 6–8 weeks, although full adjustment to the false joint may take several months.
Expected Outcomes and Limitations
Excellent results in small/medium dogs and cats
Larger dogs may have less predictable outcomes, though many still regain good function
A slight leg length discrepancy and mechanical limp may remain, which is cosmetic and not painful
The goal is a pain-free joint with good range of motion—not necessarily a normal gait
Risks and Potential Complications
Incomplete use of limb or continued lameness in rare cases
Muscle atrophy or stiffness without proper therapy
Loss of joint range of motion if rehabilitation is delayed or incomplete
Nerve injury (rare)
Despite these risks, FHO generally results in a high quality of life with reduced or eliminated pain.
Benefits of FHO Surgery
Eliminates bone-on-bone contact, relieving chronic hip pain.
No need for implants or specialized equipment
Affordable alternative to total hip replacement
High success rate in smaller pets
Encourages natural movement and recovery over time
Schedule a Surgical Consultation
If your pet is suffering from hip pain, dislocation, or arthritis, Canton Animal Hospital offers expert evaluation and treatment options, including FHO surgery. We’ll assess your pet’s specific needs and provide a comprehensive recovery plan.
Call us today or Request a Consultation Online to learn more.
Frequently Asked Questions About FHO Surgery
Have questions about FHO surgery for your dog or cat? Here are answers to the most common concerns pet owners have about the procedure, recovery, and outcomes.
Tips and Advice From Our Team
Our blog features helpful tips and educational material from our team to support your needs.
Featured Resources

We Welcome New Patients!
We're always happy to give your furry friend care at our hospital. Get in touch today!
Contact Us

