Home | Surgical Info | Hip Dysplasia in Dogs
Hip Dysplasia in Dogs
Keywords:
Hip Dysplasia in Dogs
Hip dysplasia is a genetic condition that affects the hip joint, leading to instability, pain, and mobility issues. While it is most common in large-breed dogs, smaller dogs can also be affected. Early detection and treatment can significantly improve your pet’s quality of life.
At Canton Animal Hospital, we specialize in diagnosing and treating hip dysplasia, providing personalized care to help dogs live pain-free.
What is Hip Dysplasia in Dogs?
Hip dysplasia is a common orthopedic condition affecting dog hip joints, leading to pain and mobility issues. The hip joint, a ball-and-socket structure, requires synchronized growth of the femoral head (thighbone) and acetabulum (hip socket). When growth is uneven, the joint becomes loose (laxity), resulting in degenerative joint disease (DJD) or osteoarthritis (OA) over time.
This condition is most common in large-breed dogs, but small dogs can also be affected. Early detection and treatment are key to ensuring a better quality of life for your pet.
Featured Resources

We Welcome New Patients!
We're always happy to give your furry friend care at our hospital. Get in touch today!
Contact Us
Key Characteristics of Canine Hip Dysplasia:
Abnormal development of the hip joint.
Joint laxity, instability, and misalignment.
Malformation of the femoral head and acetabulum.
Progression into osteoarthritis if left untreated.
Prevalence of Hip Dysplasia in Dogs
Hip dysplasia is one of the most common orthopedic disorders in dogs, particularly in large and giant breeds. It is the leading cause of canine osteoarthritis. Although rare in small dogs, hip dysplasia can occur in any breed. Large dogs (over 11-12 kg) experience more severe bone changes, while smaller breeds may have milder symptoms.

Causes of Hip Dysplasia in Dogs
Hip dysplasia is primarily genetic, but several environmental factors contribute to its severity:
Overfeeding & Rapid Growth: Uncontrolled puppy growth increases the risk. Fast weight gain in puppies puts stress on developing joints.
Exercise & Activity Levels: Excessive or insufficient exercise can negatively impact hip development.
Obesity: Overweight dogs experience increased joint stress, worsening hip dysplasia.
Genetics & Breeding: Dogs with a genetic predisposition are more susceptible to hip dysplasia.
Studies indicate that controlled growth rates and maintaining a healthy weight significantly reduce the risk of hip dysplasia in large-breed puppies.
How Hip Dysplasia Develops (Pathogenesis)
Hip dysplasia results from a combination of genetic and environmental factors that lead to improper joint development. The disease progresses as follows:
Normal hip joints at birth.
Weak muscle and ligament development causes joint instability.
The femoral head and acetabulum separate, leading to joint misalignment.
Over time, arthritis and bone deterioration develop, resulting in pain and stiffness.
Early intervention through proper nutrition, exercise regulation, and selective breeding can significantly reduce the likelihood of hip dysplasia.

Dog Breeds Most at Risk for Hip Dysplasia
Hip dysplasia is most frequently diagnosed in large and giant dog breeds, including:
German Shepherds
Labrador Retrievers
Golden Retrievers
Saint Bernards
Old English Sheepdogs
Bulldogs
Large mixed-breed dogs are also prone to hip dysplasia. Feeding a large-breed growth diet in the first year can support healthy joint development.
Symptoms of Hip Dysplasia in Dogs
Dogs with hip dysplasia may show mild to severe symptoms, depending on the severity of the condition and age.
Common Symptoms:
Limping or stiffness – Especially after exercise or rest.
Difficulty standing up or climbing stairs – Noticeable struggle with movement.
Bunny hopping gait – Using both hind legs together while running.
Decreased activity levels – Less willingness to play, jump, or run.
Hip pain and sensitivity – Discomfort when touched around the hip area.
Muscle loss in hind legs – Due to lack of proper use over time.
If your dog is showing these signs, consult a veterinarian for an evaluation.

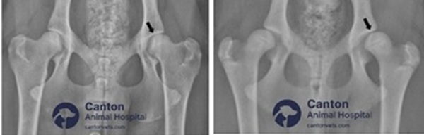
Diagnosing Hip Dysplasia in Dogs
A veterinarian will perform several tests to confirm hip dysplasia, including:
Physical Examination – Checking for pain, stiffness, and joint instability. Hip Manipulation Tests – Techniques like the Ortolani test to detect looseness in the hip joint. X-rays (Radiographs) – The gold standard for confirming hip dysplasia and assessing joint damage. CT or MRI Scans – Used in severe cases to evaluate cartilage and soft tissue damage.
Early diagnosis allows for better treatment options and long-term management.
Treatment Options for Hip Dysplasia in Dogs
Treatment depends on severity, age, and overall health of the dog. Options include non-surgical and surgical treatments.
1. Non-Surgical Treatment (Conservative Management)
Weight Management – Keeping your dog at a healthy weight reduces joint strain.
Joint Supplements – Glucosamine, chondroitin, and omega-3s support joint health.
Physical Therapy – Strengthens muscles and improves mobility.
Pain Medication – NSAIDs like carprofen help reduce inflammation and pain.
Exercise Modification – Low-impact activities like swimming and walking on soft surfaces help maintain movement.
Orthopedic Bedding & Assistive Devices – Memory foam beds, ramps, and harnesses improve comfort and mobility.
For mild cases, non-surgical management can improve quality of life significantly.
Surgical Treatments for Severe Hip Dysplasia
In moderate to severe cases, surgery may be recommended to restore joint function.
A. Juvenile Pubic Symphysiodesis (JPS)
Best for: Puppies under 5 months old.
Procedure: Alters pelvis growth to improve hip alignment.
Outcome: Prevents worsening of hip dysplasia if done early.
B. Triple Pelvic Osteotomy (TPO)
Best for: Young dogs (6-12 months) with mild hip dysplasia.
Procedure: Rotates hip socket for better fit.
Outcome: Reduces joint wear and prevents arthritis.
C. Femoral Head Ostectomy (FHO)
Best for: Small to medium-sized dogs with severe hip pain.
Procedure: Removes femoral head to create a false joint.
Outcome: Reduces pain; allows near-normal movement over time.
D. Total Hip Replacement (THR)
Best for: Large-breed dogs with severe hip dysplasia.
Procedure: Replaces the hip joint with a prosthetic implant.
Outcome: Restores full mobility and eliminates pain.
Your veterinarian will determine the best surgical option based on your dog’s condition.
If your dog is showing signs of hip dysplasia, early intervention is key to managing pain and preserving mobility. Contact Canton Animal Hospital today for an expert evaluation.
Preventing Hip Dysplasia in Dogs
While genetics play a major role, you can take steps to reduce the risk of hip dysplasia in your dog.
Choose Reputable Breeders – Select breeders who perform hip screenings (OFA or PennHIP certification).
Maintain a Healthy Weight – Avoid excessive weight gain in puppies and adults.
Proper Nutrition – Feed balanced diets with controlled calcium and phosphorus levels.
Controlled Exercise – Avoid high-impact activities in growing puppies.
Regular Vet Checkups – Early detection leads to better treatment options.
Prevention strategies can significantly reduce the risk of hip dysplasia in at-risk breeds.
Femoral Head Ostectomy (FHO) Surgery in Dogs & Cats
What Is FHO Surgery?
Femoral Head Ostectomy (FHO) is a surgical procedure used to treat hip disorders by removing the femoral head (ball) of the hip joint, eliminating bone-on-bone contact and reducing pain. Over time, a false joint forms with surrounding muscles supporting movement.

When Is FHO Recommended?
Severe hip dysplasia causing chronic pain
Hip luxation (dislocation) that cannot be corrected
Fractured femoral head or neck from trauma
Legg-Calvé-Perthes disease, common in small breeds
Severe arthritis or joint degeneration
Cost-effective alternative to Total Hip Replacement (THR)
FHO Surgery Procedure
Step 1: General anesthesia is administered Step 2: A small incision is made over the hip joint Step 3: The femoral head (ball) is surgically removed Step 4: Soft tissues and muscles help form a false joint Step 5: The incision is closed, and recovery begins

Benefits of FHO Surgery
Eliminates chronic hip pain
Restores mobility for an active lifestyle
Prevents further joint deterioration
Works well for small to medium-sized dogs & cats
More affordable than Total Hip Replacement (THR)
FHO Recovery & Rehabilitation
Strict rest for 2-4 weeks post-surgery
Gradual return to activity with controlled leash walks
Physical therapy & rehab exercises to improve mobility
Pain management & anti-inflammatory medications
Most pets recover within 8-12 weeks
FHO is a highly effective option for pets suffering from hip pain and joint dysfunction.
Total Hip Replacement (THR) in Dogs
What Is Total Hip Replacement (THR)?
Total Hip Replacement (THR) is a surgical procedure used to treat severe hip dysplasia, arthritis, or chronic hip pain in dogs. The procedure involves:
Removing the damaged hip joint
Replacing it with an artificial hip implant
Restoring pain-free movement and normal joint function
THR is the gold standard for treating advanced hip disease, allowing dogs to regain full range of motion and return to an active lifestyle.

Who Is a Candidate for Total Hip Replacement?
THR is best suited for dogs experiencing chronic hip pain that does not improve with medication or therapy. Ideal candidates include:
Dogs with severe hip dysplasia causing pain and mobility issues
Dogs with end-stage arthritis that affects quality of life
Dogs with hip luxation (dislocation) that cannot be corrected by other means
Dogs who have failed conservative treatment (pain management, joint supplements, therapy)
Dogs over 10-12 months old (to allow full skeletal development)
Small, medium, and large breeds can undergo THR, but dogs must be healthy enough for surgery.
Types of Total Hip Replacement Implants
THR involves replacing both the femoral head (ball) and acetabulum (socket) with prosthetic components made of metal and plastic.
1. Cemented Hip Replacement
Uses bone cement to secure the implant
Recommended for older or less active dogs
Provides immediate stability but may wear out over time
2. Cementless Hip Replacement
Implant fuses with the bone naturally over time
Ideal for young, active dogs needing long-term durability
Takes longer to fully stabilize but has lower risk of loosening
Your veterinarian will determine the best option based on your dog’s size, age, and activity level.

How Is Total Hip Replacement Performed?
Step 1: The dog is placed under general anesthesia Step 2: The diseased femoral head (ball) and acetabulum (socket) are removed Step 3: A prosthetic femoral head and socket are securely implanted Step 4: The joint is tested for proper movement and stability Step 5: The incision is closed, and recovery begins
The entire procedure takes approximately 2-3 hours, followed by a monitored recovery.
Benefits of Total Hip Replacement (THR)
Eliminates chronic pain caused by hip dysplasia or arthritis
Restores near-normal joint function and mobility
Long-lasting solution, with implants lasting 10+ years
Allows active dogs to resume normal activities, including running and playing Reduces the need for long-term pain medication and therapy
Most dogs return to an active, pain-free lifestyle after a full recovery.
Recovery & Post-Surgical Care
Recovery from THR is gradual, and post-operative care is crucial for success.
Hospitalization for 1-2 days after surgery
Strict rest for the first 6-8 weeks – no running, jumping, or rough play
Leash walks only for controlled activity
Physical therapy recommended to improve strength and flexibility
Pain management and anti-inflammatory medications may be prescribed
Follow-up X-rays at 6-8 weeks to confirm healing and implant stability
Most dogs return to normal activity within 3-4 months.
Total Hip Replacement vs. Other Hip Dysplasia Treatments
Treatment | Best For | Invasiveness | Recovery Time | Expected Outcome |
Total Hip Replacement (THR) | Severe hip dysplasia, chronic arthritis, hip luxation | High | 3-4 months | Near-normal function, pain-free movement |
Femoral Head Ostectomy (FHO) | Small to medium dogs, severe hip pain | Moderate | 8-12 weeks | Reduces pain but may not restore full mobility |
Triple Pelvic Osteotomy (TPO) | Young dogs (under 1 year) with mild hip dysplasia | High | 6-12 weeks | Improves hip stability, prevents arthritis |
Juvenile Pubic Symphysiodesis (JPS) | Puppies under 20 weeks with early hip dysplasia | Low | 2-3 weeks | Prevents hip dysplasia if done early |
THR is the best option for long-term pain relief and full mobility restoration.
FAQs About Total Hip Replacement in Dogs
1. Is Total Hip Replacement Painful for My Dog?
No. The surgery eliminates chronic pain, and post-operative discomfort is managed with
pain relief medications.
2. How Successful Is THR Surgery?
Over 90% of dogs regain normal mobility and remain pain-free for 10+ years.
3. When Should I Consider THR for My Dog?
If your dog has severe hip pain, limited mobility, or reduced quality of life and other treatments are ineffective.
4. What Are the Risks of Total Hip Replacement?
Potential risks include:
Infection (rare with proper aftercare)
Implant loosening or dislocation
(low risk with proper healing)
Blood clot formation (managed with post-surgical care)
5. How Much Does Total Hip Replacement Cost?
The cost varies by location but generally ranges from $8000to $10,000 per hip, including:
Surgery
Hospitalization
Post-operative care and follow-up X-rays
Many pet insurance plans cover orthopedic surgeries like THR.
Pubic Symphysiodesis in Puppies with Hip Dysplasia

What Is Juvenile Pubic Symphysiodesis (JPS)?
Juvenile Pubic Symphysiodesis (JPS) is a preventive surgical procedure performed in young puppies to reduce the risk or severity of hip dysplasia. The procedure modifies the growth of the pelvis, improving the alignment of the hip joints before full skeletal maturity.
JPS is a minimally invasive surgery that involves cauterizing the growth plate in the pubic bone, which alters the way the pelvis develops, leading to better coverage of the femoral head within the hip socket. This improved joint conformation reduces the likelihood of future arthritis and hip pain.
Which Dogs Are Candidates for JPS?
JPS is most effective when performed early in a dog’s life.
Age: Puppies between 12-20 weeks old (ideal before 16 weeks).
Breed: Large and giant breeds prone to hip dysplasia, such as:
Labrador Retrievers
German Shepherds
Golden Retrievers
Rottweilers
Great Danes
Diagnostic Confirmation:
Must be identified early using PennHIP radiographs, which measure joint laxity and risk of hip dysplasia.
After 20 weeks of age, JPS is no longer effective, and other treatment options may be required.
How Is JPS Surgery Performed?
Minimally invasive procedure done under general anesthesia.
A small incision is made to access the pubic symphysis (the cartilage between the left and right pelvic bones).
Heat or electrocautery is applied to stop further growth of the pubic symphysis, causing the pelvis to rotate slightly outward as the puppy grows.
The result is better coverage of the hip joint, reducing joint laxity and future arthritis risk.
PS is usually performed at the same time as spay or neuter surgery to avoid multiple anesthetic procedures.
Benefits of Juvenile Pubic Symphysiodesis (JPS)
Prevents or reduces hip dysplasia severity before symptoms develop.
Minimally invasive with a quick recovery time.
Better long-term hip function and mobility.
Reduces risk of arthritis and need for future hip surgery.
Less expensive than major hip surgeries like Total Hip Replacement (THR) or Femoral Head Ostectomy (FHO) later in life.
Recovery & Aftercare
Short recovery period – Most puppies return to normal activity within 2 weeks.
Mild post-surgical discomfort, managed with pain medication.
Limited activity for 7-10 days to allow healing.
Regular veterinary follow-ups and hip X-rays to monitor development.
How Does JPS Compare to Other Hip Dysplasia Treatments?
Treatment | Best Age for Procedure | Purpose | Invasiveness |
Juvenile Pubic Symphysiodesis (JPS) | 12-20 weeks | Prevents hip dysplasia | Minimally invasive |
Triple Pelvic Osteotomy (TPO) | 6-12 months | Improves hip joint stability | Moderately invasive |
Femoral Head Ostectomy (FHO) | Any age | Relieves pain from severe hip dysplasia | Invasive |
Total Hip Replacement (THR) | Over 1 year | Restores full hip function | Highly invasive |
JPS is a preventive surgery, while FHO and THR are corrective treatments for advanced cases.
Is JPS Right for My Puppy?
JPS is ideal for young puppies diagnosed early with hip laxity via PennHIP screening. If your puppy is at risk for hip dysplasia, early intervention can prevent painful joint problems in the future.
Featured Resources

We Welcome New Patients!
We're always happy to give your furry friend care at our hospital. Get in touch today!
Contact UsFAQs About Hip Dysplasia in Dogs
Hip dysplasia is a common orthopedic condition that affects dogs of all ages, especially large breeds. It can cause pain, lameness, and mobility issues, leading to arthritis if left untreated. Pet owners often have many questions about symptoms, treatment options, and long-term management. Below are some of the most frequently asked questions to help you better understand hip dysplasia and how to provide the best care for your dog.
