Home | Surgeries | Lateral Humeral Condylar Fracture Repair
Lateral Humeral Condylar Fracture Repair
Lateral Humeral Condylar Fracture Repair in Dogs and Cats
At Canton Animal Hospital, we provide advanced surgical treatment for lateral humeral condylar fractures in dogs and cats. These fractures occur near the elbow joint and are especially common in dogs, often due to trauma or genetic predisposition. Immediate evaluation and surgical correction are essential to restore elbow function, prevent joint degeneration, and ensure your pet returns to a comfortable, active life.
Understanding the Injury
Approximately 50% of humeral fractures in pets occur in the distal (lower) portion of the bone.
Lateral condylar fractures (fractures of the capitulum) are more common than medial fractures due to their weight-bearing role and anatomical position.
These injuries may result from minor trauma in young or predisposed breeds or severe impact in adult animals.
Breeds at Higher Risk:
Male Cocker Spaniels (especially over age 2)
Spaniels and toy breeds with narrow condylar ridges
Featured Resources

We Welcome New Patients!
We're always happy to give your furry friend care at our hospital. Get in touch today!
Contact UsClinical Signs of Elbow Fracture
Lateral humeral condylar fractures typically cause sudden, noticeable discomfort in the affected limb. Signs may be subtle or obvious depending on the severity of the injury and the pet’s tolerance to pain. Common clinical signs include:
Acute forelimb lameness or complete non-weight bearing on the injured leg
Swelling, pain, and warmth around the elbow joint
Resistance to flexing or extending the elbow
Crepitus (a grinding or popping sensation) during limb movement
Decreased range of motion or stiffness in the elbow
Carrying the limb close to the body to avoid using it
Crying or vocalizing when the limb is touched or manipulated
Behavioral changes such as decreased activity, hiding, or irritability
Prompt evaluation is essential, especially in cases of trauma, to avoid further joint damage or delayed healing.

Diagnostic Evaluation
Accurate diagnosis of a lateral humeral condylar fracture is essential for appropriate surgical planning and successful recovery.
Orthopedic examination: Your veterinarian will palpate the elbow joint to localize pain, assess joint stability, and detect swelling or crepitus. The limb's range of motion is carefully evaluated.
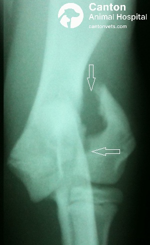
Radiographs (X-rays): Essential to visualize the fracture and determine whether it is complete, displaced, or involves multiple fragments. Thoracic radiographs may also be taken to rule out chest trauma in cases involving a fall or vehicular accident.
Advanced imaging (if needed): In complex or unclear cases, a CT scan may be recommended to gain a more detailed 3D view of the fracture anatomy, especially in small or toy breed dogs.
Pre-anesthetic blood work: Includes a complete blood count (CBC), serum biochemistry profile, and clotting tests (PT/PTT) to ensure your pet is healthy enough for anesthesia. This thorough diagnostic process helps ensure a safer anesthesia experience and allows us to choose the most effective surgical approach for each individual patient.

Surgical Treatment Approach
Goal: Restore normal joint alignment and provide internal stability for early function.
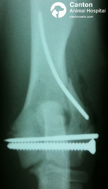
Open reduction and internal fixation (ORIF): Gold standard for treating lateral condylar fractures.
Surgical access: Achieved via a lateral or craniolateral approach for excellent exposure with minimal tissue disruption.
Surgical Steps:
Once the fracture site is adequately exposed, fibrin, clots, blood, and any interposed soft tissue are carefully removed to ensure optimal visualization and allow precise anatomic reduction of the articular surface.
A transcondylar hole is drilled beginning just cranial and ventral to the palpable lateral epicondylar crest.
The drill hole is tapped, and the lateral condylar fragment is over-drilled to create a gliding hole before placing a transcondylar lag screw.
In some cases, the lateral condylar fragment is outwardly rotated, and the gliding hole is drilled from the intercondylar fracture surface outward through the lateral side of the condyle for more accurate central placement.
After reducing the fracture, the medial condyle is drilled and tapped, and the lag screw is secured across the condyle.
To provide rotational stability, an anti-rotational Kirschner wire is driven from the lateral condyle and seated into the medial cortex of the distal humeral shaft.
The elbow joint is put through a full range of motion to confirm stability and ensure no crepitus is present.
Risks and Complications
While the overall risk associated with lateral humeral condylar fracture repair is low, it’s important for pet owners to be informed of potential complications:
Anesthetic risk: Especially in senior pets or those with underlying health conditions. Pre-anesthetic evaluations reduce this risk.
Postoperative infection: Though rare, infection at the surgical site or along the implant can occur and may require antibiotics or additional intervention.
Wound dehiscence: Premature opening of the incision site, often related to excessive activity or licking. E-collar and rest help prevent this.
Implant failure or loosening: Can occur if the pet returns to activity too soon. In rare cases, a second surgery may be necessary.
Nerve damage: Although uncommon, damage to nearby nerves may lead to temporary or permanent weakness in the limb.
Delayed healing or non-union: Especially if there’s poor bone quality, infection, or insufficient post-op care. Follow-up x-rays help monitor bone healing.
Development of arthritis: Even with perfect surgical repair, some pets may develop mild degenerative joint disease over time. Early treatment and physiotherapy can slow progression.
Close monitoring, strict rest, and following all postoperative instructions are key to minimizing these risks and ensuring your pet’s successful recovery.
Expected Outcome and Prognosis
With prompt surgery, precise reduction, and proper aftercare, excellent outcomes are common for pets undergoing lateral humeral condylar fracture repair. This type of injury, though serious, typically responds very well to surgical intervention when addressed quickly and accurately.
Early intervention reduces the risk of long-term complications, such as elbow stiffness and osteoarthritis.
Most dogs and cats regain full use of the affected limb and resume normal activities within a few months.
When internal fixation is properly placed, and healing proceeds without complication, long-term lameness is uncommon.
Physical therapy and monitored home activity can significantly enhance recovery and comfort.
The prognosis is even more favorable in young, healthy pets with minimal joint damage.
Pet owners can expect noticeable improvement within weeks, with continued strengthening over time. Ongoing communication with your veterinary team and adherence to all post-op guidelines will help ensure the best possible outcome.

Postoperative Care
Proper postoperative care is crucial to promote healing, prevent complications, and ensure a smooth recovery after lateral humeral condylar fracture repair.
Bandaging and Support: A soft padded bandage is applied immediately after surgery to reduce swelling and protect the surgical site. This is usually maintained for 5–7 days.
Activity Restriction: Your pet must be strictly confined for 6–8 weeks. Running, jumping, and rough play should be avoided entirely. Short, leash-controlled walks for bathroom breaks only.
Incision Care: Monitor the incision daily for signs of redness, swelling, or discharge. An Elizabethan collar (E-collar) should be worn at all times to prevent licking or chewing at the surgical site.
Pain Management: Pain medications and anti-inflammatories prescribed by your veterinarian must be given exactly as directed to manage discomfort and inflammation.
Physical Therapy: Passive range-of-motion exercises may be introduced a few days (5-7 days) post-op to maintain joint flexibility and reduce the risk of stiffness. These should be performed only under veterinary guidance.
Follow-Up Visits: Your pet will need follow-up appointments at 10–14 days for suture removal and again around 4- and 8-weeks post-op for recheck radiographs to confirm bone healing and implant stability.
Nutrition and Environment: Maintain a clean, padded, non-slip area for rest. Ensure proper nutrition with a balanced diet to support recovery and bone healing.
Close adherence to these care guidelines helps minimize complications and ensures your pet regains full, pain-free use of their leg.
Schedule a Surgical Consultation
Call us or schedule a consult. Early treatment of elbow fractures leads to better mobility and long-term joint health.
Frequently Asked Questions (FAQs)
If your pet has been diagnosed with a lateral humeral condylar fracture, it’s natural to have questions. Below are answers to some of the most common inquiries from pet owners regarding surgery, recovery, and long-term outcomes
Featured Resources

We Welcome New Patients!
We're always happy to give your furry friend care at our hospital. Get in touch today!
Contact Us